+ 36 1 212 5875 info@genoray.hu

KIVÁLÓ KÉPMINŐSÉG

Különféle szkennelési módok
A panoráma-, CT- és cefalometriai* szkennelési módok segítségével pontos diagnózis állítható fel.

*opcionális

FREE FOV

Különböző méretű és felbontású FOV-ok
Optimális képarányok minimális sugárterheléssel

ULTRAGYORS KEFALOMETRIA*

A gyors szkennelési idő csökkenti a páciens mozgásából eredő képtorzulást, és alacsony dózis mellett minimalizálja a sugárterhelést.

Továbbfejlesztett képfeldolgozás

SMARF™

(Smart Metal Artifact Reduction Function)

Minimalizálja a fém okozta torzulásokat, így a protézisek sem rontják a képminőséget, és optimális felvételek készíthetők.

Egyszerűen használható rendszer

INTELLIGENS MOZGATHATÓ ÁLLTÁMASZ

A vizsgálati területnek megfelelően a rendszer automatikusan beállítja az álltámaszt, elősegítve a pontosabb pozicionálást.

4-IN-1 X-RAY SYSTEM

A CT-felvételek STL formátumba történő konvertálásával digitális fogászati protetikai modellek tervezése és gyártása válik lehetővé.

szoftveralkalmazás

Fejlett szoftver: THEIA, TRIANA

Integrált megoldás a Genoray fogászati szoftverével: THEIA, TRIANA

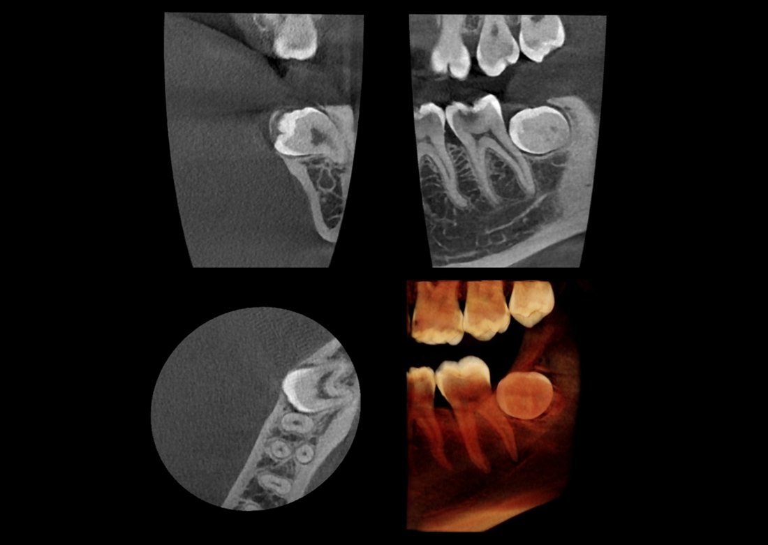
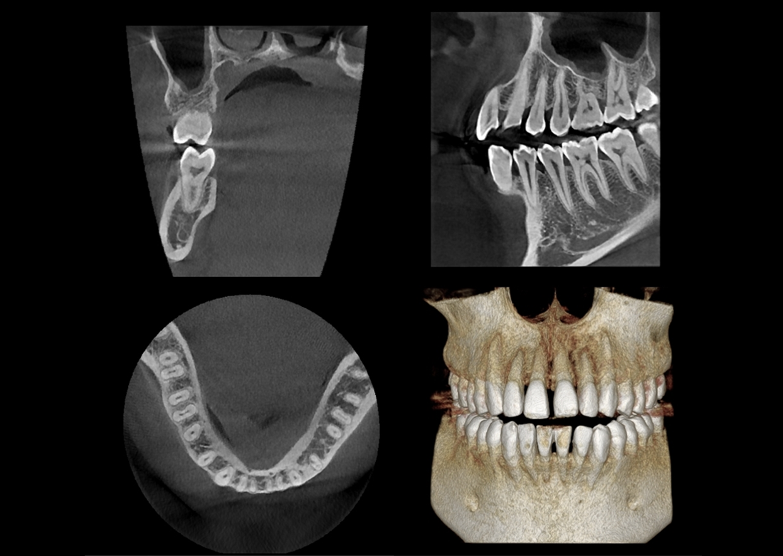
KLİNIKAI KÉPEK

Kiváló diagnosztikai képalkotás több éves tapasztalattal és szakértelemmel.
A Genoray büszkesége, amelyet világszerte elismernek és szeretnek.